
Pemeriksaan & Rotgen
Konsultasi & Pemeriksaan Menyeluruh
Dokter kami akan memeriksa kondisi gigi dan mulut secara detail serta menjelaskan solusi terbaik sesuai kebutuhan Anda.


Pendidikan Kesehatan Gigi (DHE)
Edukasi kesehatan gigi yang mudah dipahami agar Anda tahu cara merawat gigi dengan benar di rumah.
Panoramic X-Ray
Melihat seluruh struktur gigi dan rahang dalam satu gambar menyeluruh. Cocok untuk perencanaan behel, operasi gigi bungsu, atau evaluasi umum.
Cephalometric X-Ray
Digunakan untuk analisa pertumbuhan rahang dan perencanaan orthodontic (behel & aligner).
TMJ X-Ray
Pemeriksaan sendi rahang untuk mendeteksi gangguan rahang, nyeri, atau bunyi klik saat membuka mulut.
3D X-Ray (CBCT)
Teknologi rontgen tiga dimensi untuk hasil gambar yang lebih detail dan presisi, ideal untuk implant dan tindakan kompleks.
Layanan Pemeriksaan Kami
Rontgen Digital Modern


Peralatan Medis Terbaru dan Tercanggih di Kelasnya
Kami selalu berusaha untuk meningkatkan kualitas peyanan dengan peralatan medis terbaru dan tercanggih.
Intra Oral Scanner Medit i700 Wireless


iTero Element™ Plus Series
Ini adalah generasi terbaru dari pemindai intraoral digital yang dikembangkan oleh Align Technology. Alat ini digunakan untuk membuat pemindaian 3D yang sangat akurat dari gigi dan struktur mulut pasien secara cepat dan nyaman, menggantikan cetakan gigi tradisional.
iTero Element™ Plus Series, itu akan sangat melengkapi penawaran layanan mereka, terutama bagi pasien yang mempertimbangkan atau sedang menjalani perawatan Invisalign.
dua jenis teknologi pencitraan radiografi yang digunakan untuk mendapatkan gambaran visual dari struktur internal mulut dan rahang pasien.
Digital X-Ray (Intraoral) : Mengambil gambar gigi individual atau kelompok kecil gigi beserta tulang di sekitarnya. Gambar ini diambil dengan sensor kecil yang diletakkan di dalam mulut pasien.
Panoramic X-Ray (Extraoral / OPG - Orthopantomogram) : Mengambil gambaran tunggal yang luas dari seluruh area mulut, termasuk semua gigi di rahang atas dan bawah, tulang rahang, sendi temporomandibular (TMJ), dan struktur terkait lainnya.
alat pemindai digital yang digunakan untuk membuat model 3D gigi dan gusi pasien secara langsung di dalam mulut.
Keunggulan: Menggantikan metode cetakan gigi konvensional yang seringkali tidak nyaman dan memicu rasa mual. Hasil pemindaian yang akurat dan cepat membantu dokter gigi dalam perencanaan perawatan, seperti pembuatan mahkota gigi (crown), veneer, atau aligner transparan, dengan presisi tinggi.




3D print crown dental


Alat Implant Gigi Tercanggih


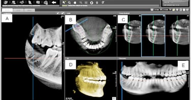
CBCT (rontgen 3 dimensi)
CBCT (Cone Beam Computed Tomography) adalah teknologi rontgen gigi 3 dimensi yang menghasilkan gambaran detail struktur gigi, tulang rahang, saraf, dan jaringan sekitar secara menyeluruh.
Berbeda dengan rontgen biasa yang hanya menampilkan gambar 2D, CBCT memberikan visualisasi tiga dimensi yang lebih akurat untuk membantu dokter dalam menentukan diagnosis dan perencanaan perawatan.
Keunggulan :
✔ Gambar 3 Dimensi yang Detail & Presisi
✔ Diagnosis Lebih Akurat
✔ Perencanaan Implant & Bedah Lebih Aman
✔ Ideal untuk Kasus Kompleks
✔ Radiasi Lebih Terkontrol
teknologi pembuatan Gigi Tiruan menggunakan sistem digital dan mesin cetak 3D presisi tinggi. Proses ini memungkinkan pembuatan crown yang lebih akurat, cepat, dan sesuai dengan bentuk gigi asli pasien.
Dengan teknologi digital, dibuat secara komputerisasi untuk memastikan hasil yang pas, nyaman, dan estetis.
Keunggulan :
✔ Presisi Tinggi & Lebih Akurat
✔ Proses Lebih Cepat
✔ Tampilan Natural & Estetis
✔ Lebih Nyaman Dipakai
✔ Teknologi Modern & Minim Kesalahan
prosedur implant gigi didukung dengan peralatan canggih dan teknologi digital modern untuk memastikan tindakan yang lebih akurat, aman, dan nyaman bagi pasien.
Kami menggunakan sistem implant terkini yang membantu dokter menentukan posisi implan secara presisi, sehingga hasilnya lebih stabil, kuat, dan tahan lama.
Keunggulan :
✔ Presisi Tinggi dengan Bantuan Digital
✔ Perencanaan Implant Lebih Akurat
✔ Prosedur Lebih Aman & Minim Risiko
✔ Proses Lebih Nyaman untuk Pasien
✔ Hasil Lebih Stabil & Natural
Karena perawatan yang baik selalu dimulai dari pemeriksaan yang tepat.
Buat Janji Pemeriksaan Sekarang dan Konsultasi dengan Dokter Kami




